Agjërimi shpesh perceptohet vetëm si një akt devocioni dhe sakrifice në kuadër të praktikave fetare. Megjithatë, përtej simbolikës shpirtërore, ai përfaqëson një proces të thellë vetëdisipline dhe rikthimi në ekuilibër, ku trupi dhe mendja mësojnë të rigjenerohen. Shkenca bashkëkohore po dëshmon se periudhat e kontrolluara të moskonsumimit të ushqimit nuk janë vetëm ritual, por një mjet i fuqishëm për rregullimin metabolik, përmirësimin e funksioneve jetike dhe forcimin e lidhjes midis zorrëve dhe trurit. Kështu, agjërimi del nga korniza e thjeshtë e sakrificës dhe shndërrohet në një praktikë që ndërthur mirëqenien shpirtërore me atë fizike.
Agjërimi, i praktikuar prej mijëra vitesh si akt shpirtëror, disiplinë etike dhe mjet vetërregullimi, sot po rivlerësohet nga shkenca si një strategji premtuese për shëndetin metabolik dhe jetëgjatësinë. Studime të shumta tregojnë se periudhat e kontrolluara të moskonsumimit të ushqimit nxisin procese rigjeneruese që organizmi vështirë se i aktivizon në kushte ushqimi të vazhdueshëm.
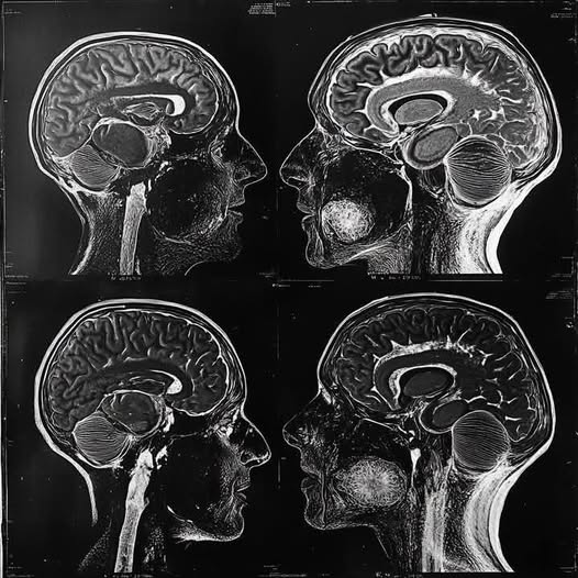
Skanimet cerebrale të pjesëmarrësve në një studim treguan ndryshime domethënëse në zonat që rregullojnë oreksin dhe varësinë, përfshirë gyrusin orbital frontal inferior. U vu re gjithashtu një ulje e aktivitetit në këtë rajon, zonë e njohur për rolin e saj në kontrollin e marrjes së ushqimit dhe në menaxhimin e impulsivitetit.
Këto ndryshime neurologjike lidhen me një rritje të aftësisë së individit për të vendosur kufij më të shëndetshëm ndaj ushqimit, duke reduktuar varësinë emocionale prej tij.
Në të njëjtin studim, analizat e mostrave të jashtëqitjes dhe të gjakut zbuluan ndryshime të theksuara në përbërjen e mikrobiomës së zorrëve. Janë vërejtur rritje të llojeve bakteriale si Coprococcus vjen dhe Eubacterium hallii, të cilat luajnë rol kyç në prodhimin e komponimeve bioaktive, si acide yndyrore me zinxhir të shkurtër.
Këto komponime, ndihmojnë në reduktimin e inflamacionit,
rregullojnë metabolizmin e glukozës, ndikojnë në sinjalizimin nervor mes zorrëve dhe trurit, përmirësojnë kontrollin e impulseve që lidhen me ushqimin.
Sipas raportimit në Frontiers in Cellular and Infection Microbiology, pjesëmarrësit humbën mesatarisht 7.6 kilogramë. Por humbja e peshës ishte vetëm një komponent. U vërejtën gjithashtu ndryshime të dukshme në mikrobiomën e zorrëve dhe në strukturat cerebrale, duke sugjeruar se agjërimi vepron si “rregullator” sistemik.
Si funksionon ky mekanizëm?
Agjërimi, sidomos ai me ndërprerje (intermittent fasting), aktivizon procesin e vetë-pastrimit qelizor (autofaginë), rrit ndjeshmërinë ndaj insulinës dhe stabilizon nivelet e sheqerit në gjak,
favorizon përdorimin e yndyrës si burim energjie, ul stresin oksidativ dhe inflamacionin kronik, mbështet funksionin e mëlçisë, zemrës dhe sistemit imunitar.
Në këtë mënyrë, përmirësohet komunikimi dypalësh “zorrë–tru”, duke ndikuar si në sjellje, ashtu edhe në mirëqenie të përgjithshme. Disa studime sugjerojnë madje se këto mekanizma mund të lidhen me ngadalësimin e proceseve të plakjes.
Modelet më të zakonshme përfshijnë:
16/8 (agjërim 16 orë – ushqim në dritare 8-orëshe),
5:2 (dy ditë me kufizim të kalorive, pesë ditë ushqim normal),
agjërime periodike të shkurtra, të monitoruara.
Megjithatë, agjërimi nuk është universal. Personat me diabet, sëmundje kronike, shtatzëna, fëmijët, të moshuarit dhe ata me histori çrregullimesh ushqimore duhet të këshillohen me mjekun përpara fillimit.
Agjërimi nuk zëvendëson ushqimin e shëndetshëm, aktivitetin fizik dhe gjumin e rregullt. Ai është një mjet që, i përdorur me maturi dhe nën udhëzim, mund të rikthejë ritmet natyrore metabolike, të përmirësojë funksionin e organeve jetike, të forcojë disiplinën mendore dhe trupore.
Në dritën e evidencës shkencore në rritje, periudhat e rregullta dhe të menaxhuara të agjërimit paraqiten si një praktikë që fton trupin të rigjenerohet dhe mendjen të rifitojë kontrollin.
Agjërimi është më shumë se kufizim ushqimor, ai përfaqëson një rivendosje metabolike dhe neurologjike, që ndërton ura të reja komunikimi mes zorrëve dhe trurit. I aplikuar me kujdes, ai mund të kontribuojë në shëndet afatgjatë dhe jetë më cilësore.
Përgatiti: Albert Vataj











